豊田市の丸子歯科 子供さんの託児可能です/子供歯肉炎
『歯科治療中、子供さんの託児可能です』
こんにちは。豊田市の丸子歯科スタッフの大島です。
小さなお子さんをお持ちのお母さん!
歯医者に行きたいのに、子供を預かってくれる人がいないとお困りではありませんか?
子供がひどい人見知りだから、迷惑をかけてしまわないかと心配されていませんか?
大丈夫です!そんな心配はいりませんよ!
治療の内容によっては、治療中のみスタッフが子供コーナーやスタッフ室でおもちゃやビデオなどで一緒に遊んでみています。
なので安心して子供さんを連れてきてください。
子供さんも徐々になれてきて、子供さんの歯科予防にもすんなり入れますよ。
頑張って待っていた子供さんにごほうびもありますので、ひとつ好きなものを持って帰ってくださいね!!

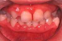
『子供の歯肉炎』
こんにちは。豊田市の丸子歯科スタッフの伊東です。
子供のお口の病気は虫歯だけではありません。
10~14歳の子供の4割以上に出血や歯石の沈着などの歯肉の病気が見られます。そのほとんどが歯肉炎です。
子供の歯肉炎の原因は、歯磨きが不十分なことが多いようです。
小学校高学年になると、お母さんが仕上げ磨きをすることが少なくなってきます。歯磨きが面倒という子供もいます。
歯磨きが不十分だと歯肉炎だけでなく虫歯にもなりやすくなります。
丸子歯科では定期検診時に虫歯のチェックとフッ素塗布とともに、歯のクリーニングも行っています。
心配なことがある場合はご相談ください。

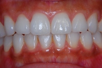
健康な状態の歯肉


