豊田市の丸子歯科 審美歯科セミナー参加
『審美歯科セミナー参加』
こんにちは。豊田市の丸子歯科院長の丸子健二です。
最近のコンピューター技術の進歩によって、歯科領域でもその技術を使った治療がかなり普及してきました。
セラミックのかたまりをコンピューターを使って削り、歯の形にしてしまう方法です。
テレビの報道でよく最新医療特集でやっていましたので、見かけた方も多いと思います。
現在その方法を積極的に臨床に取り入れ、実践した先生が卒後研修会で発表されました。
その報告が東京お茶の水にある東京医科歯科大学で行われましたので受講してきました。

丸子歯科の方針として、5年以上の臨床実績良い結果が出たものを治療に取り入れていますが、この方法もやっと5年以上経過し、その利点と欠点がかなり見えてきました。
この方法の利点は
1.見た目が歯の色とほとんど同じなので、銀歯よりとてもきれい。
2.以前のセラミックより強度が5倍以上になったため、破折しづらくなった。
3.金属を使用しないので、金属アレルギーの心配がなくなった。


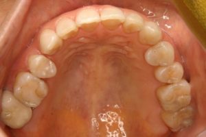
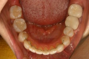
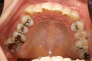
左:術前 右:術後
しかし、テレビで報道するような「夢のような最新治療」ではなく、まだ解決できていない欠点もあります。
その欠点とは
1.厚生労働省の認可は取れているが、健康保険の範囲ではやれないので治療費がかかる。
2.以前のものより強度は数段増したが、硬いものを咬むと破折することがある。
3.金属アレルギーの問題は解決したが、わずかであるが接着剤のアレルギーの報告がある。
以上のような利点・欠点を十分考慮の上、適応症の方に丸子歯科でも臨床応用していってます。
どんな方にも使えるものではありませんが、ご希望の方には相談させていただいております。

