8020を目指して
「8020運動」を知っていますか?
8020運動とは・・・
1989年(平成元年)より厚生省(当時)と日本歯科医師会が推進している「80歳になっても20歳以上自分の歯を保とう」という運動です。
20本の歯があれば食事は満足にできると言われています。
80歳になっても自分の歯を20本保つことは、健康で長生きをするための大切な目標といえるのです。

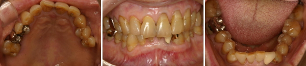
H25年に8020を達成された方のお口の中です。

8020を目指すために気を付けること
1.生活習慣を見直してみましょう
食生活、タバコ、お酒、不規則な生活、ストレスなど病気になるリスクを減らしましょう
2.効果的に歯磨きをしましょう
歯ブラシ、歯間ブラシ、歯磨き剤、うがい薬などご自身に合ったものを使いましょう。
3.メインテナンスに通いましょう
悪くなってしまう前に検診やクリーニングに通うことが大切です。
お口の中は、自覚症状がないとご自身の気付かないうちに悪化していきます。
※健康を保つお手伝いをさせていただくのが私たちの仕事です。
わからないことがありましたら、いつでもご相談ください。

