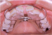
1.とりはずし式の装置
○プレート(拡大床)

顎を大きく広げるための装置です。
患者さん自身が取り外しをしたり、拡大ネジを回転させたりします。
○上顎前方牽引装置・チンキャップ

上顎全体を前方へ動かしたり上顎の成長を促進したりします。また、下顎の成長発育を抑制するための装置です。
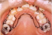
2.固定式の装置
○ブラケット+ワイヤー(金属ブレース)

もっとも代表的な、いわゆるはり金の装置です。ワイヤーの力で個々の歯を動かします。ブラケットは接着剤で歯に固定されているので取り外しはできません。
○セラミックタイプのブラケット(透明な装置)

目立たない透明な装置です。
○ホワイトワイヤー(透明な装置に白いワイヤー)

目立たない透明な装置に加え、白いワイヤーを利用することで、より人目を気にせずに矯正治療を行う事が可能になりました。
○クウォードへリックス・リンガルアーチ

主に内側から歯を押して必要なスペースを作ります。太いワイヤーの弾力で歯を動かす力を発揮します。
3.マウスピース矯正

透明で目立たない装置です。
装置が目立ちにくいため、人前に出る職業の方でも無理なく矯正することができます。
金属アレルギーの方も装着可能です。